Maryvale Children's Dentistry and Orthodontics
Home
About
Our Team
Technology
Office Pictures
Services
View All
Children's Dentistry
Children's Emergency Dental Care
Preventive Dentistry for Children
Children's Orthodontics
Tooth-Colored Fillings
Clear Aligners for Teens
Smile Gallery
Testimonials
Patient Info
View Patient Info
Financial
FAQs
Blog
Contact
Maryvale Children's Dentistry and Orthodontics
Request an Appointment
Leave a Google Review
(623) 236-2474
4700 N 51st Ave, Suite 3
Phoenix, AZ 85031
Maryvale Children's Dentistry and Orthodontics
>
Smile Gallery
>
Case 8
Case 8
Return to Smile Gallery
Previous
Next
Click image to see a larger picture
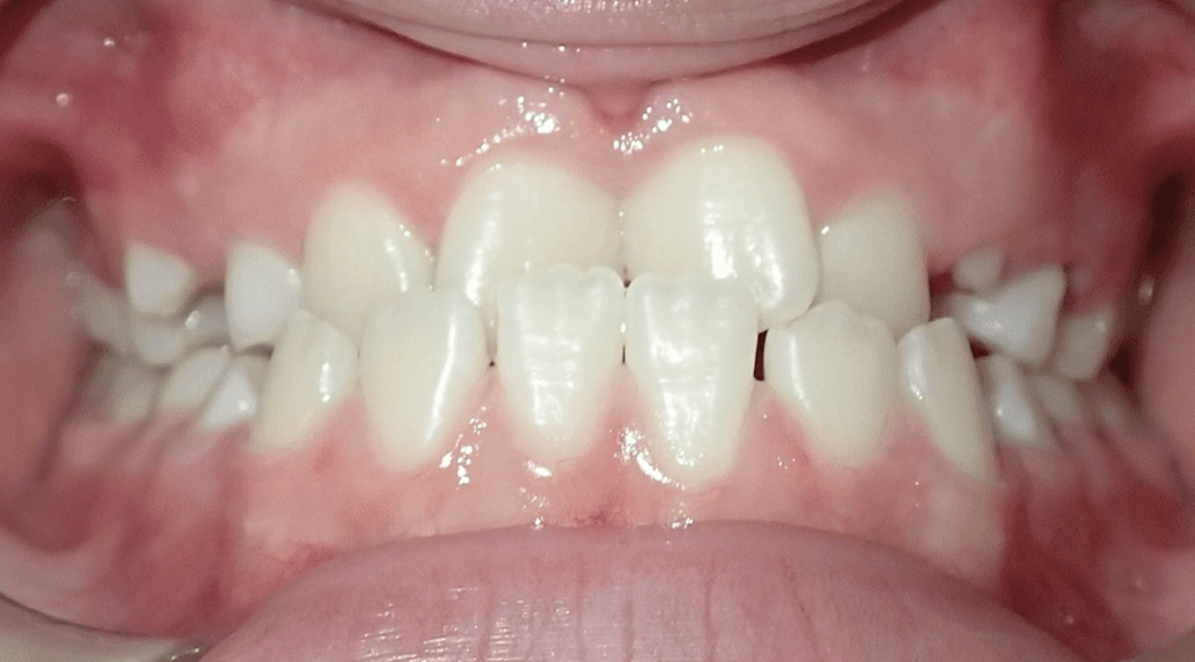
Before
After
Still need an appointment?
Contact Us
If you have difficulty using our website, please
email us
or call us at
(623) 236-2474
View the
ADA Accessibility Statement
Turn on ADA Views
Privacy Policy
OK!
×
×
Contact Us Today
Give Us A Call
Maryvale Children's Dentistry and Orthodontics -
(623) 236-2474
Send Us an Email
Request an Appointment
Contact Us
Ready to Schedule an Appointment?
Book Online
Have Questions? Contact Us:
Required Field
Your Name:
Phone:
Email:
Are you a new patient?:
Are you a?
New Patient
Current Patient
How would you like us to contact you?
Please choose
Email
Call
How did you hear about us?
Please choose
I'm an existing patient
Google/Bing
Mailer
Word of mouth
Social media
Other
Who Referred You?:
Appointment Preferences
Monday
Tuesday
Wednesday
Thursday
Friday
Your Message:
This site is protected by reCAPTCHA and the Google
Privacy Policy
and
Terms of Service
apply.
Sending...
×
This Patient's Experience
Loading Testimonial...
Loading Case...